дома Технологии Револуција во стоматологијата: Лабораториските заби стануваат реалност

Револуција во стоматологијата: Лабораториските заби стануваат реалност

Многу луѓе се плашат да одат на стоматолог, и тоа со добра причина. Имплантацијата на вештачки заб често вклучува инвазивна хирургија, поставување на титаниумски завртка во вилицата и неколку месеци чекање имплантот да се спои со коската пред да се постави круната. Но оваа практика наскоро може да заврши бидејќи истражувачките тимови од целиот свет работат на израстување на вистински, биолошки заби директно во човечката вилица.

Пробив на Кралскиот колеџ

Иако изгледа како далечна иднина, на Кралскиот колеџ во Лондон, Ана Ангелова Волпони, директорка на постдипломската програма за регенеративна стоматологија, експериментира со лабораториски израснати заби речиси две децении. Во 2013 година, таа била дел од тимот кој успеал да израсне заб од човечки и глушечки клетки. Оваа година, таа водеше студија која се базираше на таа работа и постигна клучен пробив во материјалот кој служи како “средина” за развој на забите во лабораторија, поверодостојно имитирајќи ги условите во устата. Ова е важен чекор кон целосна замена на клетките на глушецот со човечки клетки.

Идејата за создавање на лабораториски израснати заби датира од 1980-тите, но забот создаден од Волпони и нејзините колеги пред повеќе од една деценија бил првиот кој користел возрасни човечки клетки на десните, во комбинација со “прародителски” забни клетки од ембрион на глушец. “Тоа е речиси како статив”, рече таа за елементите потребни за да растат заби. “Два вида на клетки се вклучени во формирањето на забите, во еден вид на разговор, и тогаш имаме средина каде што тоа се случува”.

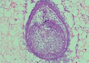
Оваа средина, која научниците ја нарекуваат “скеле”, е клучот за успех. Во последната студија, наместо колагенот кој се користел во 2013 година, тимот сега користи хидрогел, полимер со висока содржина на вода. “Прво, ние собираме клетки од ембриони на глушец, потоа ги мешаме и ги центрифугираме за да добиеме мала клеточна топка. Потоа го инјектираме тоа зрно во хидрогелот и го растеме околу осум дена”, објасни Ксуечен Жанг, докторант на Кралскиот колеџ и коавтор на истражувањето. По осум дена, во внатрешноста на хидрогелот се формираат структури во вид на заб. Во претходната студија, таквите “забни ембриони” биле пренесени на глушец, каде што тие се развиле во забна структура со корени и глеѓ.

Иако остануваат многу предизвици, Волпони предвидува две можни сценарија за идните апликации: “Или ќе го растеме забот до одредена фаза на развој и потоа го имплантираме во гнездото на забот, каде што целосно ќе се развие и ќе се интегрира со коските и лигаментите. Или, прво го растеме забот целосно, а потоа хируршки го имплантираме. Сè уште е прерано да се каже кој пристап ќе биде поодржлив”.

Предности од вистинските заби

Вистински, биолошки замена на заб израснат од сопствените клетки на пациентот би понудил многу предности во однос на денешните импланти. Телото ќе го прифати без воспаление или отфрлање, а чувството би било идентично со вистинскиот заб – за разлика од имплантите кои немаат чувство и еластичност бидејќи се споени со коската. Витор К.М. Невес од Универзитетот во Шефилд, кој не бил вклучен во истражувањето, истакнал дека Волпони е пионер во оваа област и дека нејзиното ново истражување се однесува на клучниот фактор за идната примена на оваа технологија. “Колку повеќе истражувачи придонесуваат за напредокот на оваа област, толку побрзо човештвото ќе може да ги пожнее своите плодови”, додаде тој.

Трката за нова насмевка

Други тимови од целиот свет исто така преземаат различни пристапи. Во Осака, Катсу Такахаши и неговите колеги развиваат терапија базирана на антитела која го промовира растот на забите кај луѓе со вродени недостаток на заби. Нивниот лек веќе е во клинички испитувања на луѓе и би можел да биде достапен до крајот на деценијата. Кон крајот на минатата година, тимот на Памела Јелик од Универзитетот Тафтс одгледувал човечки заби кај свињите, користејќи комбинација на човечки и свињски клетки. Крајната цел е да се стимулира растот на нови заби во човечката вилица без употреба на животински клетки.

На Универзитетот во Вашингтон, тимот на Ханела Руохола-Бејкер успешно одгледува матични клетки од човечки матични клетки. “Нашата цел е да го откриеме молекуларниот план за формирање на човечки заб и повторно да го создадеме тој процес во лабораторија”, рече таа. Што се однесува до временската рамка, Руохола-Бејкер е оптимист: “Додека клиничката примена ќе одземе време, моментумот во оваа област се забрзува, најавувајќи иднина во која биолошката поправка или замената на забите ќе стане реална опција во наредната деценија.”

ПредходнаДиносаурусите биле на врвот на својата моќ кога астероидот го погодил, велат научниците
СледнаПод влијание на циклон, од денеска дожд и ветер